.webp)
Smile Transformations
Smile Transformations
See what’s possible with personalized, modern dental care
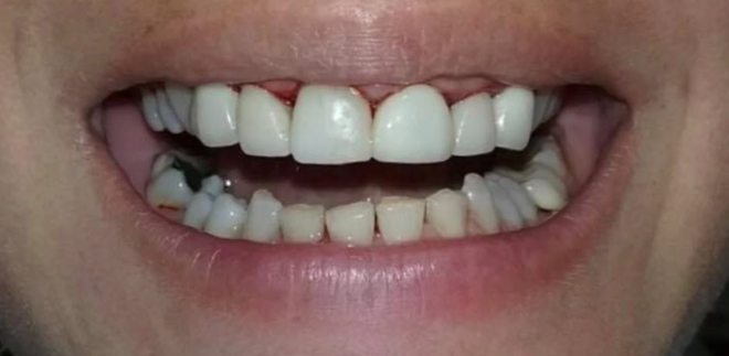
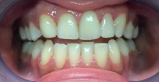
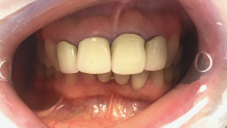
There's nothing more rewarding than helping patients rediscover their confidence through a refreshed smile. Whether it’s a subtle change or a full transformation, each before and after tells a story of trust, care, and comfort. Take a look at a few real-life results and imagine what’s possible for you.


crowns


Hybrids

Crowns


Bondings


Bondings


Crowns
Veneers

Veneers


Hybrid

Crowns


Crowns


Crown and Implant
